2

possible to identify subpopulations of the scrapie agent.6 This observation has provided a better understanding of how these unusual neuropathic agents adapt to different species of animals, the principal mechanism being selection of subpopulations. It has also revealed a diversity in the pathologic response to infection as influenced by the agent-host combination.7
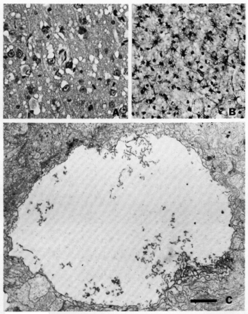
Ag 1A—Spongiform degeneration of cerebral cortex in experimental kuru. (H&E, x 400). B—Astrocytic hypertrophy in the cerebral cortex in Creutzfeldt-Jakob disease. (Cajal’s gold sublimate, x 200). C—Dilated nerve cell process containing curled membrane fragments in experimental kuru. (Line = 1 sm). Photographs from Marsh9 and published with permission of Academic Press.

2

©1999, Janet Becker Rodgers, DVM, MS

All rights reserved.

Comments? Send an email to rodgers@uky.edu