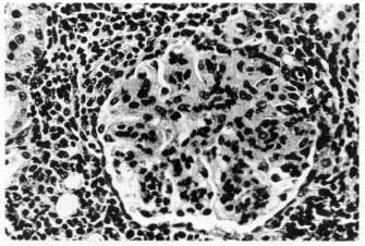
Fig 1—Affected glomerulus Irom a mink with AD. The glomerulus is avascular with large amounts of eosinophilic granular material. Periglomerular infiltration of plasma cells and a few lymphocytes are also evident.
quently, subepithelially; they most likely represent deposition of antigen- antibody complexes.5’6 In some animals viral antigen can
also be demonstrated in the glomeruli. Mononuclear cells proliferate in the liver, beginning in the portal areas but later involving most of the parenchyma. Early in the disease these cells are a mixed population of lymphocytes, histiocytes, and immature plasma cells. Later, mature and immature plasma cells dominate. Bile duct proliferation and dilation also occur. Widespread necrotizing arteritis involving the small muscular arteries are observed in approximately one-fourth of the spontaneous cases (Figure 3). y-Globulin, CS and viral antigen are deposited in the affected arteries, suggesting that deposition of antigen-antibody complexes is the causal factor of the arteritis. All of the above lesions occur in all mink genotypes when disease is manifest, but their development is much slower in non-Aleutian type mink. If the latter succumb to AD, the lesions are just as severe as those in Aleutian mink.
The disease is readily transmitted from mink to mink by parenteral injection of blood or tissue
hemogenates.8 Since the agent is filterable and sedimentable, it appears to be a virus; however, electron micrographs have failed to reveal valid particles. The agent attains its highest titers 8 to 10 days after inoculation.9,10 A vigorous antibody response against viral antigen is induced, and it appears that the hypergammaglobulinemia characteristic of this disease represents
antibody.9,11 Infectious virus complexed with antibody circulates and initiates some of the
lesions.12 The plasma cell proliferation is apparently the result of chronic antigenic stimulation and does not represent a neoplastic process in the classic
sense.13 Immunosuppression of experimentally infected mink by cyclophosphamide prevents the lesions, but